News, Research, and Community
Latest from @1LECOM on Instagram

LECOM Expands Regional Campuses to the American Heartland
Festus, Missouri, home of Mercy Hospital Jefferson, marks the first Midwest location for the Lake Erie College of Osteopathic Medicine ...
Read StoryLECOM Health Releases Economic Impact Report
The Lake Erie College of Osteopathic Medicine (LECOM) recently celebrated its 30th Anniversary since its establishment as the 16th coll...
Read Story

Recipients of the DDSF Scholarship Award
The unstinting support provided by the Diana Davis Spencer Foundation (DDSF) of the LECOM osteopathic educational mission has bettered the futures of the young men and women you see bel...

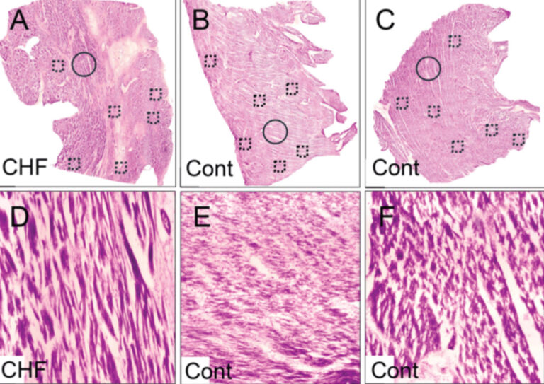
Faculty-Student Collaborative Publication: Histopathological Insights into Heart Failure
Spirited congratulations to Lake Erie College of Osteopathic Medicine (LECOM) third-year scholar Anthony DeSomma, and to Dr. Jeung Woon Lee, Associate Professor of Physiology at the Sch...

White Coat Ceremony Keynote Speaker – William H. Wismer, DO, FACOI
The Lake Erie College of Osteopathic Medicine (LECOM) is proud to celebrate the White Coat Ceremony, an annual milestone that symbolizes the commitment of our future doctors to the nobl...

New Publication Highlighting Advanced Imaging
The Lake Erie College of Osteopathic Medicine (LECOM) is pleased to share with Pulse readers a new scholarly work completed by faculty and students. Congratulations are extended to: ...

Nicolette Casarcia, DO Receives Excellence in Research Award
Hearty LECOM congratulations are extended to Nicolette Paige Casarcia, D.O. (Class of 2025) for receiving the Excellence in Research Award for LECOM-Bradenton Campus. This Award is co...
No results found.

LECOM at Seton Hill Scholars Make Generous Donation to Student Scholarship Fund
Recognizing the importance of nurturing the future of healthcare education and the need to educate scholars who follow in their footsteps, Student Government Association (SGA) students ...

Healthcare Career Expo Will Address Staffing Needs for Several Organizations in Our Region
LECOM is hosting an employee recruitment event May 13 to promote job opportunities at several healthcare-related organizations throughout the region ERIE, Pa. (April 4, 2024) — The...
LECOM Connection Archive
LECOM is proud of the accomplishments of the College’s employees, students, and alumni.
Members of the LECOM Community are welcome to submit news items for publication in the LECOM Connection. Send an email to alumni@lecom.edu. Please include your name, LECOM affiliation (faculty, student, etc.), phone number, and a detailed description of your news item.







